news
发布时间:2021-03-30
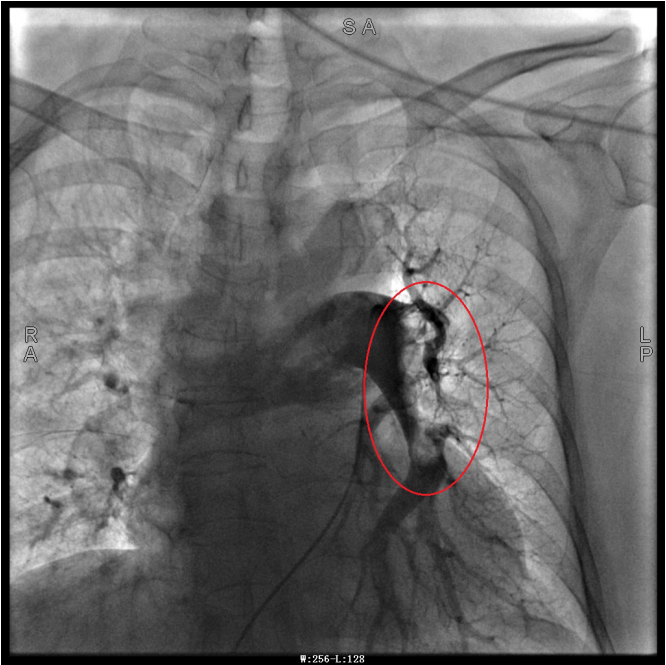
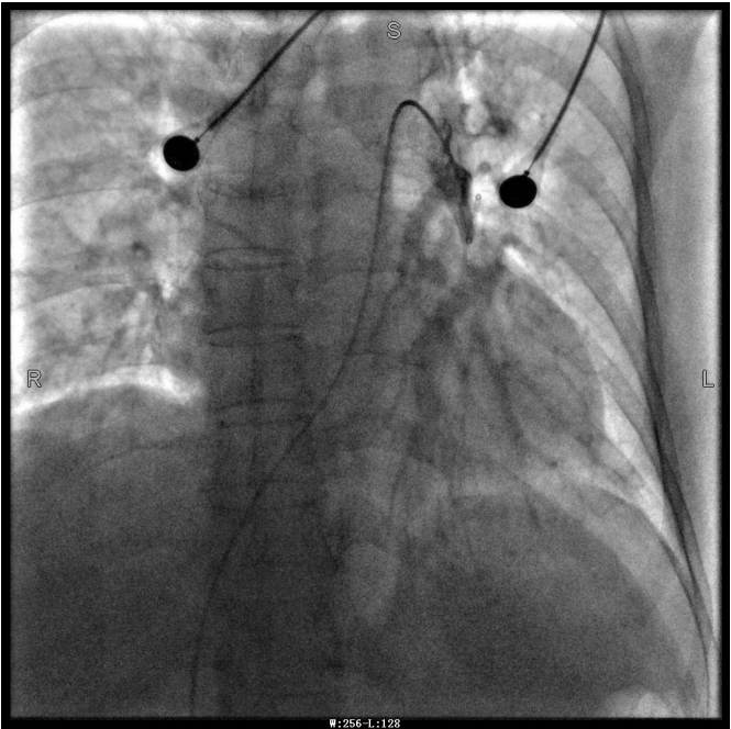
谭婆婆今年已经72岁了,因“突发意识障碍2次”到璧山区人民医院神经内科治疗。谭婆婆没有基础心脏病病史,但近段时间活动耐量明显下降,稍做活动就出现呼吸困难。入院后查BNP及心脏彩超均未提示明显异常,查D二聚体明显升高,经心血管内科周波医师会诊后转入科室继续治疗。在心血管内科主任、内科学(心血管病)博士于长青的指导下,周波医师成功完成医院首例“一站式”微创介入手术。在影像中,可以清晰地看到堵塞的血管经溶栓治疗后,重新畅通无阻,流动起支撑生命的血液。
肺动脉造影技术是目前诊断肺动脉栓塞的“金标准”,在全程心电监护下,通过股静脉或者颈内静脉置入鞘管后,利用导丝引导,将造影导管送入肺动脉;可在左/右肺动脉主干及其左右分支内,分别进行肺动脉造影或选择性肺动脉造影,存在栓塞的肺动脉血管在造影剂注入后即会显示出充盈缺损、充盈缓慢、或者血管显影模糊,严重栓塞的肺动脉血管甚至会出现血流截断征象。
肺动脉导管局部置管溶栓术是通过肺动脉造影确定堵塞的肺动脉部位,然后导管尖端置于血栓处,将尿激酶、链激酶或重组组织型纤维蛋白溶酶原激活剂直接注入血栓处,新鲜血栓在足量的溶栓剂作用下溶解。肺动脉内局部用药特别是小剂量时可减少出血并发症。
该项技术对医生手法及设备都有极高的要求,在导管通过右心室至主肺动脉时,极易出现室性心律失常等紧急状况,同时患者溶栓后有突发脑出血、消化道大出血等风险,难度较大,不仅需要引导病人呼吸配合,还需配备专业抢救设施。
璧山区人民医院成功开展该项技术,在整个渝西地区尚属首例。该技术为不明原因的呼吸困难或不明原因晕厥患者患者提供了一项全新的诊疗手段,明确患者是否存在肺动脉血栓,同时可诊断是否有肺动脉压力升高,是否行急诊溶栓治疗具有指导意义,对延长患者生命、改善患者预后、提高患者生活质量都起到了极大的帮助。
注明:第一张、第二张为术前图像
第三章未标注图像为术后图像



撰稿/供图:心血管内科 周波
编辑:于长青
校对:吴彦
审稿:陶锐