news
发布时间:2022-11-17
“启动导管室,医生已到位,穿好防护服。”11月14日凌晨1点21分,重庆医科大学附属璧山医院(重庆市璧山区人民医院)心血管内科副主任闫庆凯给介入导管室主管护师谭小利发去信息,准备开展急诊介入手术。
这是一场“特殊”的手术。78岁的患者王大爷居住在璧山区大路街道,在家时突发胸痛并呈持续性胀痛。
凌晨1点07分,家人紧急驱车赶到重庆医科大学附属璧山医院急诊医学科就诊。但王大爷的核酸阴性证明已经超过了医院规定的时限。“患者病情危重,立即安排检查,同步进行核酸采集!” 急诊医学科值班医生当机立断,决定立刻收治患者。
王大爷的胸痛症状持续不缓解,完善心电图后提示急性ST段抬高型心肌梗死。“时间就是心肌、时间就是生命。”我院胸痛中心立即为王大爷启动胸痛救治绿色通道,虽然患者核酸结果未出,但心血管内科医护人员在做好防护的前提下,仍然为患者开展了紧急介入手术。

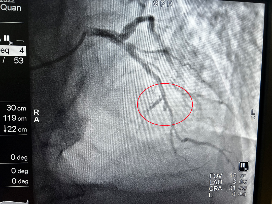
(介入前)

(介入后)
凌晨1点34分,导管室激活;1点38分,患者平车送入导管室;1点48分,穿刺成功;2点01分,导丝通过血管闭塞处……从王大爷首次医疗接触到导丝通过,仅用时54分钟。所有医护人员绷紧神经,争分夺秒,为患者开辟了一条脱离危险的绿色通道。术后,患者胸痛症状明显缓解,转危为安。
在璧山区疫情防控的关键阶段,心血管内科在全力保证疫情防控任务的基础上,依然坚持为区内急危重症患者开展心脏介入手术。本轮疫情以来,科室开展冠脉介入9台,起搏器植入2台,将“疫情之下,生命至上”的理念放在首位,为璧山区人民群众的心脏健康安全保驾护航。