news
发布时间:2023-04-27
近日,我院神经外科成功实施重庆市第二例、璧山区首例Surpass Evolve血流导向密网支架介入手术,标志着我院颅内动脉瘤治疗技术实现新突破,也代表我院神经外科介入技术再上新台阶。
48岁的袁先生两周前因发作性口角歪斜前往我院治疗,期间行DSA造影检查显示其右侧颈内动脉眼段多发动脉瘤形成,呈串珠样、不规则分叶状,随时可能破裂,危及生命,风险极大。考虑到患者年纪轻,动脉瘤为多发,累及血管较长,为达到良好的治疗效果,保证其术后更高的生活质量,我院副院长、神经外科专家牟科杰主任医师,神经外科副主任(主持工作)徐忠烨主任医师,副主任薛军副主任医师经全面细致讨论研究,最终决定应用血管内血流导向装置(密网支架)植入技术隔离其多发动脉瘤,重建患者受累及的颅内动脉。
牟科杰主任医师介绍,颅内动脉瘤是血管壁形成的囊状突起,是颅内“不定时炸弹”,动脉瘤介入治疗,已经从弹簧圈栓塞时代进展到了血流导向密网支架治疗的时代。传统的治疗方法是单纯弹簧圈栓塞或支架辅助弹簧圈栓塞或开颅夹闭,但对于一些瘤颈宽、瘤体大、多发动脉瘤的患者,血流导向装置成为一种最佳的治疗手段。通过血流导向密网支架的释放,重建血管内血流方向,使动脉瘤血栓化,促进血管内皮的再生及修复,最终使瘤颈闭合而治愈。血管重建技术是颅内动脉瘤血管内治疗的重大突破,它使得一些复杂的脑动脉瘤治疗风险相对降低,术后复发率低,同时也让手术时间大为缩短,为复杂动脉瘤的治疗带来了全新方法。4月19日上午,手术历时两小时顺利完成。

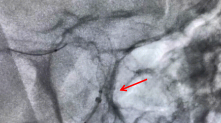
手术中释放支架图片
近年来,神经外科团队抱着对生命的敬畏之心,以精益的专业能力和日渐成熟的技术支持,与“病魔”抗争,造福更多患者!