news
发布时间:2023-06-30
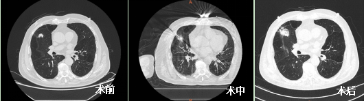
近日,我院呼吸介入团队为一例叶间裂旁肺结节患者进行了微波消融治疗,术中消融针精准命中靶病灶,术后晕征较好地覆盖病灶,恢复良好,术后三天患者好转办理出院。

73岁的刘爷爷既往有慢阻肺病史,近3月出现咳嗽、咳痰症状明显加重,听诊双肺呼吸音弱,尝试各种中、西药治疗,一直不见好转。门诊胸部CT提示肺大泡、肺气肿征象较之前明显加重,同时肺部多发结节,分别位于右肺上叶叶间裂旁,大小约19mmx15mm,右肺中叶肺结节,大小约11mmx10mm;完善胸部增强CT检查右肺上叶结节考虑肺癌可能性大。考虑患者年龄大、严重肺气肿、肺大泡、肺功能较差等情况,团队行肺结节MDT讨论,外科手术切除风险极高,家属拒绝外科手术治疗。

为进一步进行治疗,王开金副主任带领胡学进副主任医师、陈进主治医师等呼吸介入团队联合麻醉科王艳冰副主任进行了缜密的术前讨论,综合评估患者的整体状况,术前讨论决定为患者右肺上叶高危结节进行微波消融术。做好充分术前准备后,团队于6月16日CT引导下行右肺上叶结节微波消融术,术程顺利,全程无痛,术后无并发症出现。现患者愈后良好,于术后第三天办理出院,并拟1月后对右肺中叶结节行氩氦刀冷冻消融术。
经皮微波消融是一种微创的治疗技术,通过影像定位可对病变部位进行精准的治疗。
对比传统手术它的优势是:
1.微创、不留疤、恢复快;
2.定位精准、全程影像引导;
3.无需手术切除肺脏;
4.最大限度保护肺脏功能;
5.疗效确切、安全性高;
6.可重复性强、并发症少;
7.费用低、住院周期短。
肺结节微波消融适应症(2021版《热消融治疗肺部亚实性结节专家共识》):
1.因心肺功能差或者高龄不能耐受外科手术;
2.拒绝行手术切除;
3.外科切除后又新出现的病灶或者遗留病灶,患者无法耐受再次手术或者拒绝再次手术;
4.多发GGN(先消融主病灶,其他病灶根据发展情况可再次消融);
5.各种原因导致中毒胸膜黏连或胸膜腔闭锁;
6.单肺(各种原因导致一侧肺缺如);
7.重度焦虑,经心理及药物治疗无法缓解。
刘爷爷符合专家共识推荐的第一、四条,但他的肺结节紧邻叶间裂,极易出现气胸及支气管胸膜瘘,经过我院呼吸介入团队认真的术前准备、精准的术中布针,较好地完成了手术。此次微波消融术的成功开展,标志着呼吸与危重症医学科微创治疗技术再上新台阶。为患者身心健康和生命安全保驾护航,重庆医科大学附属璧山医院呼吸与危重症医学科一直在努力!