news
发布时间:2024-01-25
近日,重庆医科大学附属璧山医院(重庆市璧山区人民医院)呼吸介入团队成功为一名九旬高龄患者进行了高危肺结节微波消融术,术后恢复良好。
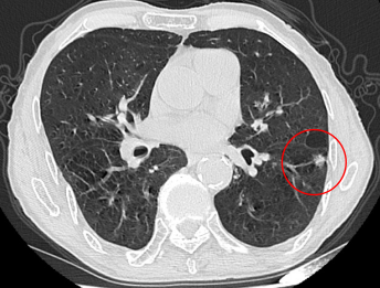
患者吴爷爷,90岁,胸部增强CT提示左肺高危肺结节,肺癌可能性极大。因患者高龄、肺功能较差,不能耐受外科手术,患者及家属对肺部高危结节非常担心。
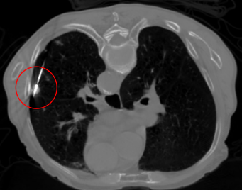
考虑到患者情况,我院呼吸与危重症医学科王开金副主任组织肺结节与肺癌MDT讨论,征得患者及家属同意后,决定为患者实施微波消融术。1月9日由王开金副主任带领的呼吸介入团队,在CT引导下为患者行局麻下肺结节微波消融术。手术顺利,术中患者无不适,术后恢复良好。

左肺结节

微波消融术中
王开金副主任介绍,与外科手术不同,微波消融术利用高频电磁波作用于肿瘤细胞,在微波作用下产生磁场,引起肿瘤细胞内的带电分子高速振动,分子之间相互碰撞、摩擦产生热量,短时间内使肿瘤细胞内的温度急剧升高,引起细胞凝固性坏死。它是一种相对安全的微创治疗手段。
对于高龄患者,CT引导局麻下经皮微波消融治疗有独特的优势:
1. 经皮微波消融是局部麻醉,避免了全身麻醉对高龄患者身体的打击,尤其是心肺功能较差的患者;
2. CT引导可以精确定位,使消融针到达理想位置,尽可能避免损伤周围的重要结构及脏器;
3. 经皮微波消融操作简便,痛苦小,耗时短,对全身影响小。