news
发布时间:2024-07-31
近日,重庆医科大学附属璧山医院(重庆市璧山区人民医院)肝胆胰外科在陶锐副书记领导下,由安代红副主任医师带领团队成功实施了2例经皮经肝胆道支架植入术,成功解除了患者因肿瘤导致的梗阻性黄疸,延长了患者生存期,改善了患者生活质量。
病例1
69岁老年患者,因“中上腹疼痛1周”于我院肝胆胰外科住院治疗,完善相关检查后考虑诊断为:胰腺恶性肿瘤、梗阻性黄疸等,因肿瘤分期晚并出现远处转移,已无根治性手术指征,且因肿瘤侵犯十二指肠导致肠腔狭窄,无法实施ERCP+胆道支架植入术解除胆道梗阻,经过科室团队充分评估,决定为患者行经皮经肝胆道支架植入术,手术顺利,术后患者黄疸逐渐消退,为后续治疗提供了坚实的保障。

术中影像
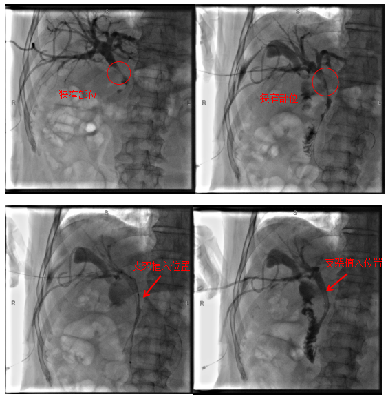
病例2
患者为72岁老年男性,因“右上腹疼痛2月,眼黄、尿黄1周”入院。入院后完善相关检查考虑胆管中段恶性肿瘤、梗阻性黄疸,患者心肺功能极差,心血管内科、呼吸与危重症医学科及麻醉科会诊评估后考虑患者无法耐受全身麻醉,肝胆胰外科团队充分评估后决定为患者行经皮经肝胆道支架植入术,手术顺利,术后患者黄疸逐渐消退,有效地改善了患者的生活质量,延长了患者的生存时间。

术中影像
科普小知识
1
什么是梗阻性黄疸?
人体的胆道大体呈树状分布,胆汁从树枝(肝内胆管)流入树干(肝门部胆管、胆总管),最终进入十二指肠内。胆道狭窄或闭塞会使胆汁从肝脏排出受阻,致使大量胆汁淤积在肝内,进而损伤肝细胞导致肝功能损害,甚至肝衰竭。
梗阻性黄疸在临床上较为常见,多由各种原因引起的胆管狭窄和/或闭塞(胆道梗阻)所导致,而胆道梗阻最重要的原因之一是各种原发和继发性恶性肿瘤。临床上,很多恶性肿瘤致胆道梗阻的患者,因为胆道梗阻无法解除,短时间内肝功能损害进行性加重,进而出现肝功能衰竭,导致肿瘤治疗延误,生存时间严重缩短。
同时,由于大多数恶性胆道梗阻患者都处于肿瘤晚期,无法行根治性手术,所以解除胆道梗阻是延长患者寿命的重要手段。但由于肝门部解剖关系复杂,开腹胆肠吻合手术治疗创伤巨大,住院时间长,花费昂贵,对年老体弱和基础疾病多的患者更是极大的挑战。
2
什么是PTCD?
经皮经肝胆道支架植入术是利用直径约1.2mm的穿刺针,经皮肤穿刺进入肝内胆管,通过导丝和导管的引导,将胆道支架送入胆道梗阻的部位,然后释放支架,扩张狭窄胆道,使狭窄或闭塞胆道恢复通畅的一种介入诊疗技术。
经皮经肝胆道支架植入术具有创伤小(仅在皮肤表面留下1.2mm左右的针孔)、住院时间短、治疗费用低等优势,尤其适用于年老体弱、心肺功能差不能耐受手术治疗的梗阻性黄疸患者。该技术的成功开展补全了我院肝胆胰外科介入技术短板,切实提高了我院肝胆胰外科团队的专业服务能力。肝胆胰外科将不断更新和发展技术,为璧山乃至周边地区的患者提供更好的诊疗服务。