news
发布时间:2025-05-21
近日,重庆医科大学附属璧山医院(重庆市璧山区人民医院)呼吸与危重症医学科团队成功为一名晚期肺癌合并大气道狭窄的患者实施经硬质支气管镜下Y型金属覆膜支架植入术。术后患者呼吸困难显著缓解,复查显示气道恢复通畅。
72岁的程爷爷,因“确诊肺癌5年余,咳嗽、咳痰伴间断咯血两个月”入院。检查发现其左肺鳞癌已进展至Ⅳ期,肿瘤侵犯导致气管中下段及隆突区域形成约4.5厘米的极重度狭窄,严重影响呼吸功能,同时患者合并心房颤动、心包积液等多系统并发症,治疗难度极高。

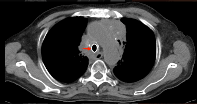
术前胸部CT见患者气道狭窄,呈一缝隙

术后复查胸部CT见气道通畅

术前气管重度狭窄

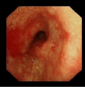
术中植入金属覆膜支架
针对患者气道狭窄危象,呼吸与危重症医学科联合麻醉科、医学影像科等多学科团队制定个性化方案。术中采用全身麻醉联合喉罩通气,通过硬质支气管镜与软镜协同操作,在狭窄段实施肿瘤冷冻切除,随后精准植入Y型金属覆膜支架。手术全程动态监测生命体征,最终支架释放位置理想,管腔扩张充分。术后复查显示气道通畅性恢复,患者血氧饱和度稳定在93%-97%。

呼吸与危重症医学科副主任(主持工作)王开金副主任医师介绍:“气道支架植入术是在支气管镜的辅助下,通过将管状的气管支架支撑物送入狭窄处,支架扩张,使气道通畅,从而缓解呼吸困难症状的一种气道介入技术。此次手术的成功得益于术前三维影像精准评估、术中多镜联合的微创技术以及围术期多学科协作管理,为晚期肿瘤合并气道梗阻患者提供了重要治疗选择。”
我院呼吸与危重症医学科长期深耕呼吸危重症与介入诊疗领域,配备国际先进硬质支气管镜、冷冻治疗等设备,近年来累计完成经气道介入、经皮肿瘤消融介入、经血管介入、经胸腔介入治疗手术近千余例。科室通过常态化多学科协作机制,持续提升急危重症救治水平,致力于为患者提供更精准、安全的诊疗服务。