news
女人一生中最幸福的时刻是什么? ——大家都会说,是可爱的小宝宝诞生的那一刻。 女人一生中最疼痛的时刻是什么? ——很多人会回答,是分娩的那一刻。
2020-06-15
近日,呼吸内科护士站收到了一份特别的礼物。患者家属黄阿姨花了近一个月时间,为护士妹妹们亲手缝制了几双鞋垫。 “我就只有这种手艺,希望你们能喜欢!”黄阿姨将鞋垫亲手送到了护士手中。她说,送鞋垫寓意着脚踏实地、越走越远,感谢护士们的勤恳奉献,祝医院越办越好。 67岁的黄阿姨是科室一位住院病人的家属,每天在医院,看着护士妹妹们仿佛亲人一般照顾病人,马不停蹄地在病房中奔走,不知疲惫、不辞辛苦,既感动,又心疼。“我女儿和你们差不大年纪,看着你们成天这么累,我就想为你们做点什么!”
2020-06-15
经常沐浴能够清洁婴儿的皮肤,促进身体的血液循环,加速新陈代谢,还能增进宝宝的食欲、提高睡眠质量,对他们的成长来说至关重要! 六一儿童节,送给宝宝最温暖的礼物,快带宝宝来洗浴中心洗澡吧!
2020-06-01
近日,我院手术室护士徐沁手绘了系列漫画,记录了抗疫期间身边的人和事。每幅漫画的背后,都有一个故事……
2020-06-01
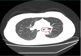
“小”内镜切除支气管“大”肿瘤 近日,一位患支气管肿瘤患者到我院呼吸内科治疗,检查时,其肿瘤几乎已经完全堵塞气管管腔,若不及时手术,随时可能发生呼吸衰竭。 情况危急,医生立即为其抽取动脉血化验并给予高流量吸氧等,但患者呼吸困难的症状缓解不明显,必须及时将肿瘤切除。“如果按照传统的手术方式,需将患者气管切开,组织损伤性高、流血量多。由于患者肿瘤贴近降主动脉,切除过程中将伴有大出血的风险。”刘碧翠说,随着我院内镜技术的发展,对于这样的重症患者,可以利用呼吸内镜迅速切除肿瘤,清理气道内局部的坏死组织、分泌物并予以止血处理。 科室介入团队经过精心准备后,立刻为患者实施内镜介入手术,将气道内肿物切除干净。手术仅用时2小时,患者没有发生大出血,很快便恢复出院。此次手术的成功开展,充分体现了呼吸内科对此类疑难危重气道疾病患者的救治能力。
2020-06-01
纯洁,镌刻在你们洁白的裙摆; 细心,回响在你们温柔的话语; 责任,流露在你们专注的眼眸; 大爱,映衬在你们真情的守护。 你们是璧医最美的芳华! 5月12日,让我们满怀感恩与祝福: 白衣天使,节日快乐! 在第109个“5·12”国际护士节到来之际,我院开展丰富多彩的主题活动,为白衣天使们庆祝这个特别的节日。 家国情怀 爱的力量 抗疫一线护士座谈会
2020-05-14
为进一步健全完善全区护理质量管理与控制体系,促进全区护理质量规范化、标准化、科学化管理,近日,重庆市璧山区护理质量控制中心成立暨护理管理专题培训会在我院召开,全区各医院护理分管领导、护理部主任、护理管理负责人约50人出席会议。会议由区质量控制中心主任、我院副院长刘光碧主持。 区护理质控中心秉承“以病人为中心,以质量为核心”的理念,整合全区护理专家,定期开展护理专业质控评价,切实加强对基层医疗单位护理管理工作的督查指导。通过培训先进的护理理念、护理管理方法、专业的技术,进一步提升全区护理能力和管理水平。本次中心的成立为全区护理事业的发展带来了新机遇,创造了新前景。
2020-05-14
提起3D打印这个词,人们的印象往往都是“高科技”、“未来感”。但实际上,未来已来,3D打印技术正在走进我们的生活。近日,我院手足外科成功通过3D打印技术辅助手指再造,成为该技术在医疗领域上的重要实践。 患者陈先生在工厂上班时不慎被冲床冲压右手,被送到医院时,整只手血肉模糊,肌腱、血管外露。诊断结果为4指毁损离断伤,已经无法直接再植,需要“切脚趾、补手指”。 “缺多少、补多少,缺多少、切多少,对于再造手术,我们在关注创面修复的同时,也需要对供区进行关注。不光要注重改善手部功能,还要尽可能减少足部供区的损伤。”主刀医生胡明兴说,考虑到患者对术后恢复效果预期高,经过与患者及家属沟通,科室团队决定利用3D打印技术,通过数字化精准设计,辅助手指再造。 在放射科的支持下,医院对患者双手进行了CT三维重建,通过技术处理,虚拟出了患者缺失的手指,再使用新型材料打印出3D模型,模拟患者的断指。通过对3D模型进行设计取样,对患者右拇指、中指精准再造。 手术过程顺利,由于3D打印技术的精准化辅助,两根再造的手指外形美观,不需要进行二期整形修复,足部供区创伤也达到最小化。又能用右手写字、吃饭,陈先生很高兴,“等这两根手指恢复得差不多了,我马上就来修复剩下两根手指!”
2020-05-14