news
近日,重庆医科大学附属璧山医院(重庆市璧山区人民医院)甲状腺乳腺外科团队成功完成全院首例“经胸前入路腔镜下右侧甲状腺癌颈侧区淋巴结清扫术”,标志着我院在甲状腺微创外科领域实现重大技术突破。此次手术通过腔镜技术实现颈部“无疤痕”治疗,为患者带来更美观、更安全的治疗新选择。
2025-04-23
近日,重庆医科大学附属璧山医院(重庆市璧山区人民医院)心血管内科电生理团队成功为一名79岁高龄房颤患者实施全院首例“三维标测下脉冲电场消融术(PFA)”,此次手术的圆满成功不仅为高龄、高风险房颤患者提供了更安全高效的治疗选择,也标志着我院在心律失常介入治疗领域迈上新的台阶。
2025-04-01
2025-04-01
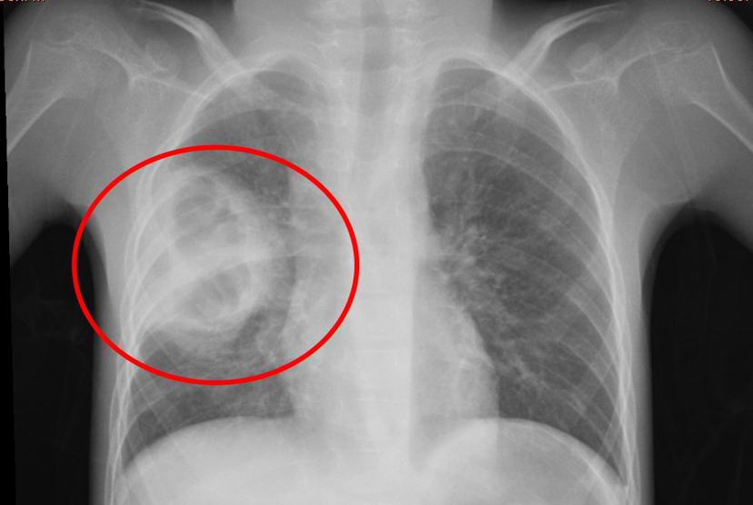
近日,重庆医科大学附属璧山医院(重庆市璧山区人民医院)儿科历经40余天的精心治疗与护理,成功点亮了一名因肺部重度感染并发肺脓肿、病情极其危重的脑瘫患儿的“生命之光”。
2025-03-25
近日,重庆医科大学附属璧山医院(重庆市璧山人民医院)肾病风湿免疫科成功救治一例因用药不当而突发急性肾衰竭的患者。
2025-03-25
2025-02-27
近日,重庆医科大学附属璧山医院(重庆市璧山区人民医院)神经外科成功开展全院首例高颈段脊髓神经刺激器植入术,成功治疗昏迷病人。这项手术的开展,标志着我院神经外科在昏迷促醒领域又迈上了新的台阶,也为患者的康复之路开辟了新的路径。
2025-02-27
近日,重庆医科大学附属璧山医院(重庆市璧山区人民医院)皮肤与整形美容科成功实施全院首例大腿皮肤松弛整形术,在短时间内解决了患者减重后大腿皮肤松弛的烦恼,为肥胖减重人群带来了福音。
2025-02-27