news
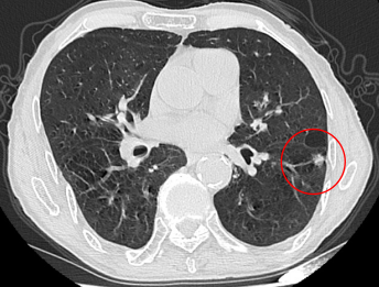
近日,重庆医科大学附属璧山医院(重庆市璧山区人民医院)呼吸介入团队成功为一名九旬高龄患者进行了高危肺结节微波消融术,术后恢复良好。
2024-01-25
1月18日下午,重庆市卫健委卒中中心评审专家组一行莅临我院,进行三级卒中中心建设单位现场评审。区卫健委副主任周鸣、我院院长郭进军、副院长刘碧翠、医务部主任闫庆凯以及相关科室主任陪同迎检。
2024-01-25
近日,重庆医科大学附属璧山医院(重庆市璧山区人民医院)眼科、麻醉科、手术室通力协作,助一位有脑梗病史的老年患者恢复光明。
2023-07-18
2023-07-18
近日,从《重庆市卫生健康委员会办公室关于下达2023年度重庆市临床重点专科建设项目立项的通知》中获悉,全市共67家医院,189个专科参评,经过材料审核和现场答辩评审,并挂网公示无异议,我院消化内科、眼科、临床护理三个学科光荣上榜,确定为重庆市临床重点专科建设项目。
2023-07-14
近日,重庆医科大学附属璧山医院(重庆市璧山区人民医院)手足外科团队完成一例左上肢淋巴水肿超显微外科手术。该手术的成功开展,标志着医院在该领域实现新的突破。
2023-07-06
璧山区未成年人心理健康辅导站
2023-07-06
重庆医科大学附属璧山医院(重庆市璧山区人民医院)持续深入推进健康共同体“三通”建设,抓基层、补短板、谋健康,精准对接璧山区基层人民群众的健康服务需求,以29个“精准帮扶”项目为突破口,推动人才、技术和管理下沉,为各镇街卫生院(社服中心)建强一批临床专科、带出一批骨干人才、填补一批技术空白、完善一批管理制度,提升区内医疗资源整合共享水平,增强分级诊疗能力。今年1-6月,医院累计派出帮扶人员493人次,开展基层诊疗4226人次,指导基层开展新技术、新项目78项,开展医疗查房525例次,培训带教324人次,疑难危重症病例会诊74例,下转住院患者1458人次,区域影像中心为基层出具检查报告960份,区域消毒供应中心为基层提供2063个灭菌包,“三通”改革成效日益明显。
2023-07-06