news
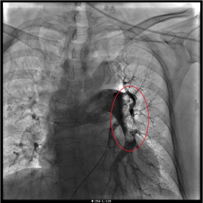
一站式”介入手术,即两种介入手术一次完成。在过去,肺动脉血管+心脏血管手术需要呼吸与危重症医学科、心血管内科团队联合完成,现在通过“一站式”介入,由一人便可独立完成。据了解,重庆市璧山区人民医院心血管内科成功完成渝西地区首例”一站式”介入手术:冠脉造影+右心导管+肺动脉造影+肺动脉导管内溶栓术。 谭婆婆今年已经72岁了,因“突发意识障碍2次”到璧山区人民医院神经内科治疗。谭婆婆没有基础心脏病病史,但近段时间活动耐量明显下降,稍做活动就出现呼吸困难。入院后查BNP及心脏彩超均未提示明显异常,查D二聚体明显升高,经心血管内科周波医师会诊后转入科室继续治疗。在心血管内科主任、内科学(心血管病)博士于长青的指导下,周波医师成功完成医院首例“一站式”微创介入手术。在影像中,可以清晰地看到堵塞的血管经溶栓治疗后,重新畅通无阻,流动起支撑生命的血液。 肺动脉造影技术是目前诊断肺动脉栓塞的“金标准”,在全程心电监护下,通过股静脉或者颈内静脉置入鞘管后,利用导丝引导,将造影导管送入肺动脉;可在左/右肺动脉主干及其左右分支内,分别进行肺动脉造影或选择性肺动脉造影,存在栓塞的肺动脉血管在造影剂注入后即会显示出充盈缺损、充盈缓慢、或者血管显影模糊,严重栓塞的肺动脉血管甚至会出现血流截断征象。 肺动脉导管局部置管溶栓术是通过肺动脉造影确定堵塞的肺动脉部位,然后导管尖端置于血栓处,将尿激酶、链激酶或重组组织型纤维蛋白溶酶原激活剂直接注入血栓处,新鲜血栓在足量的溶栓剂作用下溶解。肺动脉内局部用药特别是小剂量时可减少出血并发症。 该项技术对医生手法及设备都有极高的要求,在导管通过右心室至主肺动脉时,极易出现室性心律失常等紧急状况,同时患者溶栓后有突发脑出血、消化道大出血等风险,难度较大,不仅需要引导病人呼吸配合,还需配备专业抢救设施。 璧山区人民医院成功开展该项技术,在整个渝西地区尚属首例。该技术为不明原因的呼吸困难或不明原因晕厥患者患者提供了一项全新的诊疗手段,明确患者是否存在肺动脉血栓,同时可诊断是否有肺动脉压力升高,是否行急诊溶栓治疗具有指导意义,对延长患者生命、改善患者预后、提高患者生活质量都起到了极大的帮助。 注明:第一张、第二张为术前图像 第三章未标注图像为术后图像
2021-03-30
“请把袖子撸起来,露出左上臂。”3月25日下午,重庆市璧山区人民医院预防保健科,新冠病毒疫苗接种工作正在有条不紊地进行着。现场秩序良好,前来接种疫苗的市民均自觉排队,保持间隔,按照流程依次有序接受疫苗接种。
2021-03-29
为了提高基层眼底病学的技能提升,规划化培训玻璃体腔注药,更好的服务患者,重庆医学会眼底病学组于3月20日上午在重庆市“迎客厅”璧山区开展了学术讨论会。
2021-03-25
加速康复外科(ERAS)是指采用一系列经循证医学证实有效的围手术期优化措施减少外科应激、加快术后康复,以达到减少外科应激,维持病人内环境稳定,加快术后康复,缩短住院时间的目标。目前国内已在多个领域成立加速康复外科专家组并提出共识,涉及到多个学科共同参与和规范化管理,通过检验临床效果,不断的优化操作流程,以达到患者最大获益的目标。
2021-03-25
人的一生有三分之一的时间是在睡眠中度过。据调查,世界范围内约1/2以上的人存在睡眠问题,我国各类睡眠障碍者约占人群的40%左右。失眠已经成为影响现代人健康的重要问题,它不仅会引发烦躁、焦虑、易怒、抑郁,还会直接危害身体健康,引起高血压、糖尿病、肥胖、心脏病发作,增加脑血管病、癌症等疾病的发病风险。所以,你的睡眠还好吗? 在2021年世界睡眠日主题——“规律睡眠,健康未来”——的号召下,为普及睡眠知识,引导公众规律睡眠,促进公众身心健康,重庆市璧山区人民医院睡眠心理中心于3月18日下午于璧山区大成广场开展“世界睡眠日”主题义诊活动。 本次活动由睡眠心理中心主任乐发国博士带队,科室全体医护人员共同参与。在义诊开始前,睡眠心理中心专家为现场群众带来了一场健康睡眠讲座,宣传睡眠相关知识,引起公众对睡眠的关注。同时,为了加深公众对睡眠知识的印象,他鼓励公众参与到现场的健身气功八段锦和肌肉放松练习,从实践中感受调整睡眠的意义。义诊活动中,现场的各位医生对有需要的市民进行心理测评、血压测量,针对大家提出的心理健康相关问题答疑解惑。
2021-03-23
为方便群众,提升患者的就医体验及满意度,我院门诊不仅在门诊大厅内投放免费轮椅供患者使用,近日还新增设两台轮椅放于门诊入口处,便于第一时间为行动不便的患者提供服务与帮助。刚刚投入使用数日就帮助了不少的患者,扮靓了医院,方便了群众,成为医院一道风景,受到往来就医群众的好评。
2021-03-19
为提高乙肝母婴传播阻断技术的规范管理,加强医务人员肝病诊疗能力,重庆市璧山区人民医院特邀陆军军医大学西南医院感染科毛青主任及其团队于3月18日15时在医院201会议室举行学术交流活动。 会议围绕《个人防护:怎样做才是有效的》、《肝脏疾病如何选择更优的保肝药物》、《新冠病毒感染的病原学诊断及其对病毒性肝炎研究的启迪》、《乙肝母婴阻断的临床管理规范》展开交流。毛青教授在交流会上介绍,慢性乙型肝炎是中国第一大传染病,通过血液、母婴、性生活等方式传播,全国有9000万乙肝病毒感染者,近3000万乙肝患者。但值得关注的是,处于生育期的乙肝病毒感染者和乙肝患者众多,因此推广乙肝母婴传播阻断技术对于降低乙肝发病率、预防乙肝传播有着至关重要的意义等。 此次学术交流会由璧山区人民医院感染科副主任邓晓虹主持会议,参会的有璧山区人民医院刘碧翠副院长、护理部封敏副主任及临床医务人员。本次会议的成功举办,为乙型肝病的阻断与诊疗打下坚实基础,通过交流学习,致力于为患者提供更优质的诊疗服务。
2021-03-19
3月15日,重庆市人力社保局召开第九批第二期援藏专业技术干部进藏培训暨行前动员会。据了解,本批援藏专技干部共32名,将于3月16日进藏,开展为期一年半的援藏工作,重庆市璧山区人民医院儿科主治医师韩周玻为其中一员。 今年34岁的韩周玻是重庆市璧山区人民医院的一名儿科医生,一直奋战在儿科临床一线,擅长儿童呼吸道疾病、过敏性、感染性腹泻、川崎病等的诊治,曾获“琢玉精神奖”“最美医生”等荣誉,此次援藏主要负责西藏自治区芒康县人民医院儿内科工作。 在出征仪式上,韩周玻表示,他会牢记援藏使命,真诚、真心、真情做好每一份工作,尽自己的一份力量。
2021-03-19