news
4月27日,“重庆市第一届加速康复外科护理第二次年会”在重庆医科大学附属第二医院江南院区宽仁会议中心举行,重庆医科大学附属璧山医院(重庆市璧山区人民医院)肝胆胰外科正式挂牌“加速康复外科标准病房”,为我院首个挂牌加速康复外科的病房。
2023-05-08
2023-05-08
为进一步推进紧密型医共体建设,促进医疗资源下沉和技术下沉,提升区域医疗服务体系整体效能。按照区卫健委关于推进紧密型医共体建设的要求,4月24日,院长郭进军带领财务科、医务部、人力资源部、行政办公室、医保办、运营部、胃肠(肛肠、疝)外科、呼吸与危重症医学科相关人员前往璧泉街道社区卫生服务中心就推进紧密型医共体建设进行现场调研。
2023-04-28
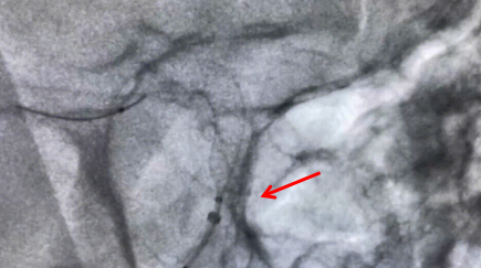
近日,我院神经外科成功实施重庆市第二例、璧山区首例Surpass Evolve血流导向密网支架介入手术,标志着我院颅内动脉瘤治疗技术实现新突破,也代表我院神经外科介入技术再上新台阶。
2023-04-27
近日,我院肿瘤血液科医护联合,由魏漫副主任、黄川护士长等共同操作,完成了肿瘤血液科首例超声联合腔内心电技术下的手臂输液港植入术,为患者建立“生命新通道”。
2023-04-18
近日,重庆医科大学附属璧山医院(重庆市璧山区人民医院)心血管内科成功为1名难治性高血压患者实施了区内首例一站式分侧肾上腺静脉取血术+肾动脉造影术。
2023-04-18
肥胖不仅影响形体美观,更会导致一系列相关健康问题及心理问题,如糖尿病、高血压、高血脂、严重脂肪肝、冠心病、呼吸睡眠暂停(严重打鼾)、月经紊乱、抑郁等,严重危害身体健康。
2023-04-18
2023-04-17